What Are Wisdom Teeth?
Wisdom teeth are your third set of molars that typically emerge between ages 17 and 25. While they can be valuable when healthy and properly aligned, they often cause problems because most people don’t have enough space in their mouth for them. At Putramahkota Dental Clinic in Mahkota Cheras Kajang, we specialize in safe, painless wisdom tooth removal to prevent complications and protect your oral health.

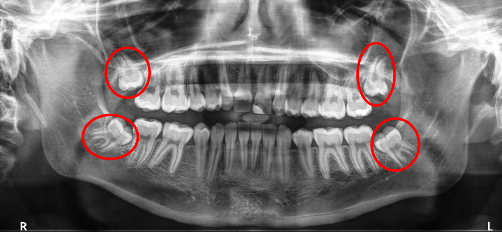
X-ray of wisdom teeth / Dental surgery in progress
Why Do Wisdom Teeth Need to Be Removed?
1. Lack of Space
Most people don’t have enough room in their jaw for four additional molars. When wisdom teeth try to emerge, they push against existing teeth, causing crowding and misalignment.
2. Impaction
Wisdom teeth can become impacted, meaning they’re trapped beneath the gum line or bone. Impacted teeth can cause severe pain, infection, and damage to adjacent teeth.
3. Infection & Decay
Wisdom teeth are difficult to clean because of their location at the back of the mouth. This makes them prone to cavities, gum disease, and infection.
4. Cyst Formation
In some cases, wisdom teeth can develop cysts or tumors around them, which can damage the jawbone and surrounding teeth.
5. Damage to Adjacent Teeth
Emerging wisdom teeth can push against and damage your second molars, causing pain and requiring additional treatment.
6. Gum Disease
Partially erupted wisdom teeth create pockets where bacteria accumulate, leading to gum disease and inflammation.
Types of Wisdom Tooth Impaction
1. Simple Impaction
The tooth is partially visible and can be extracted relatively easily. Recovery is faster.
Extraction Time: 20-30 minutes per tooth
Difficulty: Low to moderate
Recovery: 3-5 days
2. Soft Tissue Impaction
The wisdom tooth is covered by soft tissue (gum), making extraction more complex.
Extraction Time: 30-45 minutes per tooth
Difficulty: Moderate
Recovery: 5-7 days
3. Partial Bony Impaction
The tooth is partially embedded in bone, requiring more surgical skill.
Extraction Time: 45-60 minutes per tooth
Difficulty: High
Recovery: 7-10 days
4. Complete Bony Impaction
The tooth is completely embedded in bone, requiring advanced surgical techniques.
Extraction Time: 60-90 minutes per tooth
Difficulty: Very high
Recovery: 10-14 days

Different types of wisdom tooth impaction / X-ray comparison
Signs You May Need Wisdom Tooth Removal
1. Pain & Discomfort:
•✅ Severe pain at the back of your mouth
•✅ Swelling in the jaw
•✅ Difficulty opening your mouth
•✅ Headaches or ear pain
2. Infection Signs:
•✅ Fever or chills
•✅ Swollen lymph nodes
•✅ Pus or discharge
•✅ Bad breath or taste
3. Dental Problems:
•✅ Crowding of front teeth
•✅ Damage to adjacent teeth
•✅ Cavities in wisdom teeth
•✅ Gum disease around wisdom teeth
4. Orthodontic Issues:
•✅ Teeth shifting or crowding
•✅ Bite problems
•✅ Misalignment after braces
The Wisdom Tooth Removal Process
Step 1: Consultation & Examination (30 minutes)
We examine your mouth and take X-rays to assess your wisdom teeth. We discuss your symptoms, medical history, and treatment options. We explain the procedure and answer all your questions.
What to Expect: Comfortable consultation, no pain, detailed explanation
Step 2: Pre-Operative Assessment (15 minutes)
We review your X-rays, determine impaction type, and plan the extraction approach. We discuss anesthesia options and post-operative care.
What to Expect: Clear treatment plan, cost estimate, pre-operative instructions
Step 3: Anesthesia (5-10 minutes)
We apply local anesthesia to numb the area. For anxious patients, we offer sedation options (nitrous oxide or IV sedation).
What to Expect: Numbing sensation, no pain during procedure
Step 4: Extraction (20-90 minutes depending on impaction)
We carefully remove the wisdom tooth using specialized instruments. For impacted teeth, we may need to remove bone or section the tooth.
What to Expect: Pressure sensation, no pain, possible sounds of instruments
Step 5: Closure & Aftercare (10-15 minutes)
We clean the extraction site and may place stitches. We provide detailed aftercare instructions and prescribe pain medication if needed.
What to Expect: Gauze packing, clear instructions, emergency contact information
Step 6: Follow-Up (7-14 days)
We schedule a follow-up visit to check healing and remove stitches if needed.
What to Expect: Healing assessment, stitch removal, final instructions
Post-Operative Care & Recovery
Immediate Care (First 24 Hours)
•Bite on gauze: Keep gauze in place for 30-45 minutes
•Apply ice: 20 minutes on, 20 minutes off for 6 hours
•Rest: Avoid strenuous activity
•Elevate head: Sleep with extra pillows
•Avoid hot foods: Stick to cool, soft foods
Days 2-7
•Warm compress: Apply after day 2 to reduce swelling
•Gentle rinsing: Rinse with salt water after meals
•Soft diet: Continue soft foods (yogurt, soup, mashed potatoes)
•Pain management: Take prescribed medication as directed
•Avoid smoking: Smoking delays healing
Weeks 2-4
•Gradual return to normal: Slowly introduce harder foods
•Continue oral hygiene: Gentle brushing and flossing
•Avoid strenuous exercise: Wait 3-4 weeks before intense activity
•Follow-up visit: Attend scheduled check-up
Full Recovery Timeline
•Swelling: Peaks at 48-72 hours, subsides by 7-10 days
•Bruising: May appear, fades within 2 weeks
•Pain: Most severe first 3-5 days, improves daily
•Complete healing: 7-14 days for soft tissue, 3-6 months for bone
Pain Management After Extraction
1. Over-the-Counter Options
•Ibuprofen: 400-600mg every 4-6 hours (reduces inflammation)
•Paracetamol: 500-1000mg every 4-6 hours
•Combination: Alternate between ibuprofen and paracetamol
2. Prescribed Medication
•Stronger painkillers: If over-the-counter isn’t sufficient
•Antibiotics: Prevent infection if prescribed
•Antimicrobial rinse: Reduce bacterial growth
3. Natural Pain Relief
•Ice packs: First 24 hours
•Warm compress: After 48 hours
•Salt water rinse: 4-5 times daily
•Elevation: Keep head elevated
•Rest: Allow body to heal
Possible Complications & When to Seek Help
Normal After Extraction
•Mild swelling and bruising
•Slight bleeding for 24 hours
•Mild discomfort
•Difficulty opening mouth
When to Contact Us (Seek Immediate Care)
•❌ Severe pain not relieved by medication
•❌ Excessive bleeding after 24 hours
•❌ Fever above 38.5°C
•❌ Pus or foul odor from extraction site
•❌ Severe swelling after 3-4 days
•❌ Difficulty swallowing or breathing
•❌ Numbness lasting more than 2 weeks
Common Questions About Wisdom Tooth Removal
Q: Is wisdom tooth extraction painful?
A: No. We use local anesthesia to numb the area completely. You’ll feel pressure and hear sounds, but no pain. For anxious patients, we offer sedation options.
Q: How long does recovery take?
A: Most people return to normal activities within 7-10 days. Complete bone healing takes 3-6 months, but you won’t notice it.
Q: Can I eat normally after extraction?
A: Start with soft foods for 1-2 weeks. Gradually return to normal foods as healing progresses. Avoid hot, hard, and sticky foods initially.
Q: When should wisdom teeth be removed?
A: Ideally between ages 18-25 when roots are not fully formed. However, they can be removed at any age if problematic.
Q: Do all wisdom teeth need to be removed?
A: Not necessarily. If they’re healthy, properly aligned, and don’t cause problems, they can stay. We assess each tooth individually.
Q: Can I drive after extraction?
A: If you received local anesthesia only, yes. If you had sedation, you must have someone drive you and avoid driving for 24 hours.
Q: What if I have a medical condition?
A: We review your medical history carefully. Most conditions don’t prevent extraction, but we may need to take special precautions.
Why Choose Putramahkota Dental Clinic for Wisdom Tooth Removal?
✅ Expert Oral Surgeons – Specialized training in wisdom tooth extraction
✅ Advanced Technology – 3D imaging and digital X-rays
✅ Painless Procedure – Multiple anesthesia options available
✅ Comfortable Environment – Modern, clean surgical suite
✅ Sedation Available – For anxious or complex cases
✅ Affordable Pricing – Competitive rates in Mahkota Cheras
✅ Comprehensive Aftercare – Detailed recovery instructions
✅ Emergency Support – Available for post-operative complications
✅ Payment Plans – Flexible payment options available
Ready to Remove Your Wisdom Teeth?
Don’t let problematic wisdom teeth affect your oral health and comfort. Our expert team at Putramahkota Dental Clinic is ready to help.
Contact Klinik Pergigian Putramahkota in Mahkota Cheras today:
📞 Phone: +60164892387 / 03-90114487
💬 WhatsApp: +60164892387
📍 Address: 32A, Jalan Temenggung 7/9, Bandar Mahkota Cheras, 43200 Cheras, Selangor
🌐 Website: putramahkotadentalclinic.com
🕐 Hours: 7 Days a Week
Book Your Consultation Now! We’ll assess your wisdom teeth, explain your options, and create a treatment plan that’s right for you.

