Introduction
Missing a tooth? A dental bridge is an affordable, proven solution to fill the gap and restore your smile.
At Putramahkota Dental Clinic in Mahkota Cheras, we specialize in bridge treatments that look natural and function perfectly. This guide explains everything you need to know.
What Is a Dental Bridge?
A dental bridge is a prosthetic tooth (or teeth) that bridges the gap created by missing teeth. It’s anchored to adjacent teeth and literally “bridges” the space.
Think of it like a bridge spanning a river—it connects one side to the other, filling the gap in between.
Why Get a Bridge?
•Replace missing tooth/teeth – Fill the gap
•Prevent shifting – Stop remaining teeth from moving
•Restore function – Improve chewing and speaking
•Improve appearance – Get your smile back
•Maintain facial structure – Prevent sagging

Beautiful smile with dental bridge at Putramahkota Dental Clinic in Mahkota Cheras
Types of Bridges
1. Traditional Bridge (Most Popular)
How it works: Crowns on both sides anchor an artificial tooth in the middle
Lifespan: 10-15 years
Best for: Single missing tooth
Note: Requires grinding adjacent teeth
2. Cantilever Bridge
How it works: Anchored on only one side (one abutment tooth)
Lifespan: 8-12 years
Best for: End-of-row missing teeth
Note: Less stable than traditional bridge
3. Maryland Bridge (Bonded Bridge)
How it works: Metal or ceramic wings bonded to adjacent teeth (no grinding)
Lifespan: 5-10 years
Best for: Front teeth, young patients
Note: Reversible, preserves healthy teeth
4. Implant-Supported Bridge
How it works: Anchored on dental implants instead of natural teeth
Lifespan: 20+ years
Best for: Multiple missing teeth
Note: No damage to adjacent teeth

Different types of dental bridges available at Klinik Pergigian Putramahkota
Bridge vs. Other Options
| Option | Lifespan | Damage to Teeth |
| Bridge | 10-20 years | Yes (traditional) |
| Implant | 20+ years | No |
| Denture | 5-8 years | No |
Treatment Process (2 Visits)
Visit 1: Preparation (1-2 hours)
1.Numb the area with local anesthetic
2.Prepare abutment teeth (grind down if traditional bridge)
3.Take impressions of your teeth
4.Place temporary bridge to protect the gap
What you’ll feel: Pressure and vibration, no pain
At Home (1-2 weeks)
•Your custom bridge is made in the lab
•Wear your temporary bridge
•Maintain normal oral hygiene
Visit 2: Placement (1 hour)
1.Remove temporary bridge
2.Try on permanent bridge (check fit and bite)
3.Make adjustments if needed
4.Cement bridge in place permanently
Result: Immediate restoration of your missing tooth!

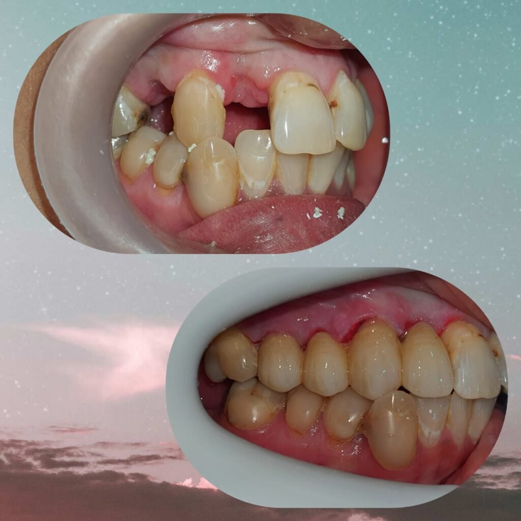
Before and after dental bridge treatment at Putramahkota Dental Clinic
Care and Maintenance
Daily Care
Brushing:
•Brush twice daily with soft toothbrush
•Brush around the bridge carefully
•Use fluoride toothpaste
Flossing:
•Floss daily under the bridge
•Use a bridge threader or water flosser
•Floss around abutment teeth
Eating with Your Bridge
•✅ Can eat most foods
•⚠️ Avoid very hard foods
•⚠️ Avoid sticky foods
•⚠️ Avoid chewing on the bridge area
•✅ Cut food into small pieces
Regular Check-ups
•Visit your dentist every 6 months
•Professional cleaning is important
•Monitor bridge condition
Common Questions
Q: How long does a bridge last?
A: 10-15 years with proper care. Implant-supported bridges last 20+ years.
Q: Is the procedure painful?
A: No. The area is numbed. You may feel mild soreness for 1-2 days after.
Q: Can I eat normally?
A: Yes, but avoid very hard and sticky foods. Most foods are fine.
Q: How do I clean under the bridge?
A: Use a bridge threader to floss under the bridge, or use a water flosser.
Q: Will my bridge look natural?
A: Yes. Modern bridges match your natural teeth perfectly.
Q: How many visits do I need?
A: Two visits, about 2 weeks apart.
Q: Is a bridge better than an implant?
A: Bridges are faster and less expensive. Implants preserve adjacent teeth and last longer. Discuss with your dentist.
Q: Can I get a bridge if I have gum disease?
A: No. Gum disease must be treated first. Healthy gums are essential.
Why Choose Putramahkota Dental Clinic?
✅ Experienced Dentists – 10+ years of bridge experience
✅ Multiple Bridge Types – Traditional, cantilever, Maryland, implant-supported
✅ Advanced Technology – Latest dental equipment
✅ Affordable Pricing – Competitive rates with flexible payments
✅ Comfortable Care – Your comfort is our priority
✅ Proven Results – Hundreds of successful bridges
✅ Convenient Location – Easy to reach in Mahkota Cheras
✅ Extended Hours – Open 7 days a week
Ready to Fill That Gap?
Don’t let a missing tooth affect your confidence and quality of life. A dental bridge can restore your smile in just 2 visits.
Schedule your consultation at Klinik Pergigian Putramahkota today!
Contact Us
📍 Address: Bandar Mahkota Cheras, Kuala Lumpur
📞 Phone: +60164892387 / 03-90114487
💬 WhatsApp: +60164892387
🌐 Website: putramahkotadentalclinic.com
⏰ Hours: 7 Days a Week
Conclusion
A dental bridge is an affordable, effective solution for replacing missing teeth. Whether you choose a traditional bridge or an implant-supported bridge, you’ll get your smile back.
At Putramahkota Dental Clinic in Mahkota Cheras Kajang, our experienced team is ready to help. Contact us today for your consultation!

